-

扫一扫关注公众号 -

就医助手
最近,“减肥”成了全民热议的话题,而作为“胖友”们常见的“难兄难弟”——脂肪肝,也再次引起了大家的关注。今天,就让我们借助CT和MR这两双“火眼金睛”,一起揭开脂肪肝的神秘面纱。
一、脂肪肝:肝脏的“甜蜜负担”
脂肪肝,顾名思义,就是肝脏里堆积了过多的脂肪。正常情况下,肝脏含有少量脂肪,但当脂肪含量超过肝脏重量的5%时,就形成了脂肪肝。脂肪肝可分为酒精性脂肪肝和非酒精性脂肪肝,其中非酒精性脂肪肝与肥胖、糖尿病等代谢性疾病密切相关。
二、CT:脂肪肝的“黑白照”
CT(计算机断层扫描)是利用X射线对人体进行断层扫描,并通过计算机重建图像的检查方法。对于脂肪肝的诊断,CT可以提供以下信息:
*肝脏密度降低:脂肪的CT值低于正常肝组织,因此脂肪肝在CT图像上表现为肝脏密度普遍降低,与脾脏密度相比更加明显。
*肝内血管模糊:由于脂肪的堆积,肝内血管在CT图像上会变得模糊不清,甚至消失。
*肝脾CT值比值:正常情况下,肝脏CT值高于脾脏,而脂肪肝患者的肝脾CT值比值会降低,甚至出现反转。

三、MR:脂肪肝的“彩色照”
MR(磁共振成像)是利用磁场和射频脉冲使人体组织产生信号,并通过计算机重建图像的检查方法。与CT相比,MR对脂肪的显示更加敏感,可以提供更多信息:
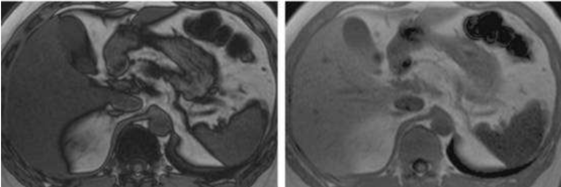
*T1WI同反相位成像:这是MR诊断脂肪肝的“金标准”。在T1WI同相位图像上,脂肪肝的信号强度与正常肝组织相似;而在反相位图像上,脂肪肝的信号强度会明显降低。
*脂肪定量分析:MR还可以通过特殊序列对肝脏脂肪含量进行定量分析,为脂肪肝的诊断和疗效评估提供更准确的依据。

(图片说明:左图为T1WI同相位图像,右图为T1WI反相位图像,可见脂肪肝在反相位图像上信号强度明显降低)
四、早发现,早治疗,远离脂肪肝
脂肪肝虽然常见,但并非不可逆转。通过控制饮食、加强运动、戒酒等措施,可以有效改善脂肪肝。而对于中重度脂肪肝患者,则需要及时就医,在医生的指导下进行药物治疗。
五、影像科医生的温馨提示
*影像学检查是诊断脂肪肝的重要手段,但最终诊断还需结合患者的临床表现、实验室检查等综合判断。
*定期体检,关注肝脏健康,早发现,早治疗,才能拥有健康的肝脏!
声明:本文仅供参考,不能替代专业医生的诊断和治疗建议。如有任何疑问,请咨询专业医生。